Les implants dentaires
Une ou plusieurs dents manquantes ? Les implants dentaires allient confort et esthétique pour remplacer des dents absentes.
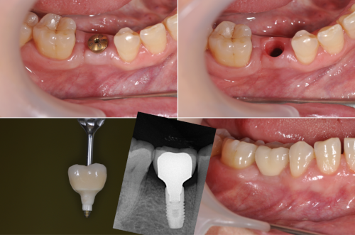
La pose implantaire consiste à positionner une vis biocompatible sur le ou les sites édentés. Cette « nouvelle racine » sera le support de votre nouvelle dent.
Nos implants sont de la marque EUROTEKNIKA (ETK), reconnue pour sa qualité et ses innovations dans le domaine des implants dentaires.

Les différentes étapes :
1. Examen préliminaire : Évaluation de la santé bucco-dentaire et planification informatique.
2. Pose de l’implant : Intervention sous anesthésie locale, réalisée dans un bloc opératoire dédié pour une sécurité maximale.
3. Cicatrisation : Phase d’intégration de l’implant à l’os.
4. Prise d’empreinte numérique : Permet de créer une couronne parfaitement ajustée.
5. Fixation de la couronne : La prothèse est fixée pour une mastication optimale et un rendu esthétique naturel.

Greffe osseuse
La pose d'un implant dentaire nécessite un volume osseux suffisant.
Lorsque le volume est insuffisant, une greffe osseuse permet de recréer un support adéquat pour assurer la stabilité et la réussite de l’implant sur le long terme.
Un volume osseux suffisant est fondamental pour la stabilité et le succès à long terme des implants.
Si vous n’avez pas assez d’os, une régénération osseuse ou un sinus lift (dans le secteur molaire de la mâchoire du haut) permettra de poser les implants dans des conditions optimales.
Les techniques utilisées sont des interventions reconnues, pratiquées dans le monde entier.
Les biomatériaux que nous utilisons sont de la marque Geistlich (Leader dans le monde de la dentisterie régénérative) et Pred, des produits efficaces et sûrs.
Régénération osseuse

Sinus Lift

Les réhabilitations complète sur implants
La réhabilitation dentaire complète est une techniquequi vise à restaurer la fonction masticatoire et l’esthétique de l’ensemble de la bouche.
Lorsqu'il s'agit de réhabiliter complètement la dentition de manière durable, 3 techniques peuvent être envisagées :
- Prothèse complète stabilisée sur 2 implants + 2 attachements (Mâchoire du bas)

- Prothèse complète stabilisée sur 4 implants + barre (Mâchoire du haut)

- Bridge fixe transvissé sur 6 implants (mâchoire du haut) / 5 implants (mâchoire du bas)

Les avantages des réhabilitations complètes
- Retrouver une dentition complète facilite la mastication des aliments, améliore la digestion et la qualité de vie.
- Cela permet de retrouver un sourire harmonieux, booste la confiance en soi et favorise des interactions sociales positives.