Qu’est-ce que la parodontie ?
La parodontie, aussi nommée parodontologie est une spécialité dentaire qui se concentre sur la santé de vos gencives et des tissus de soutien de vos dents, appelé le parodonte.
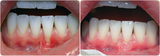
Les maladies parodontales (=déchaussements dentaires) sont des maladies infectieuses. Sous l'effet des bactéries l'os est détruit et les gencives se rétractent. Si elles ne sont pas traitées, les dents vint devenir mobile allant jusqu'à tomber.
Ces pathologies évoluent souvent silencieusement, sans signe visible ni douleur.
Les symptômes n’apparaissent souvent qu’à un stade avancé de la maladie. Ces symptômes peuvent être les suivants :
✓ Saignements des gencives
✓ Gencive rouge/gonflée/douloureuse
✓ Mauvaise haleine persistante
✓ une ou plusieurs dents commencent à bouger
✓ Abcès
✓ Gencive qui se rétracte
✓ Des espaces commencent à apparaître entre les dents

Comment traiter la maladie parodontale ?
Le traitement de la maladie parodontal peut être composé de :
- L'apprentissage par le Dr Bessone d’une technique de brossage efficace associée à une pate antiseptique
- Un détartrage à la surface de vos dents pour éliminer la plaque et le tartre
- Un traitement parodontal non chirurgical qui consiste à décontaminer les poches parodontales en douceur avec des instruments adaptés afin de restaurer la santé gingivale.
- Un traitement antibiotique (dans certains cas)
- Un traitement parodontal chirurgical peut être indiqué dans les zones les plus sévèrement touchées, dans le cas de poches parodontales très profondes ou de perte osseuse sévère.
La thérapeutique parodontale est adaptée en fonction du type et de la sévérité de la maladie
Santé générale et maladies parodontales
En plus d’affecter la bouche, ces affections peuvent avoir des répercussions sur la santé générale, augmentant les risques de diabète, de maladies cardiaques ou d’AVC si elles ne sont pas traitées.
Par conséquent, traiter les maladies parodontales permet non seulement de préserver son capital dentaire, mais a également un effet bénéfique sur la santé générale.
La Chirurgie Muco-Gingivale
En cas de récessions gingivales, les racines des dents sont exposées et les dents paraissent plus longues.Les greffes de gencive peuvent réparer ces défauts et aider à prévenir l’aggravation des récessions ainsi que de la perte osseuse associée.

Plusieurs facteurs favorisent l'apparition de récessions gingivales :
-parodontite
-couronne ou amalgames mal adaptés
-brossage horizontal traumatique
- les malpositions dentaires,
- une gencive fine
Les greffes de gencives peuvent être utilisées pour couvrir les racines ou renforcer l’épaisseur de la gencive. Il existe plusieurs techniques de greffes de gencive suivant le type de défaut, l’étendue, la localisation et le résultat souhaité.